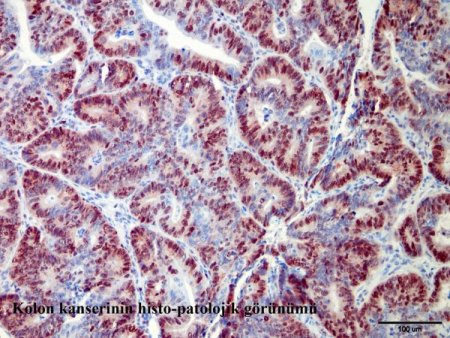
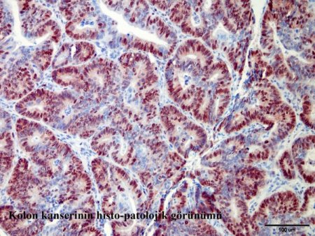
Afyon Kocatepe Üniversitesi'nde(AKÜ) fareler üzerinde yapılan bir araştırmada manda yoğurdunun kalın bağırsak kanser riskini önlemede yüzde 80 oranında etkili olduğu tespit edildi.
Türkiye Bilimsel ve Teknik Araştırma Kurumu (TÜBİTAK) tarafından desteklenen projede 2 yıl boyunca 440 fare üzerinde araştırma yapıldı. Manda yoğurdunun kanser oluşmadan önce veya en azından kanserojen maddeye aynı anda maruz kalma döneminde alındığında kanser görülme sıklığının önemli ölçüde azaldığı gözlemlendi.
AKÜ Veteriner Fakültesi Öğretim üyesi Prof. Dr. İbrahim Demirkan, yaptıkları bilimsel çalışmada manda yoğurdunun kalın bağırsak kanser riskini önemli oranda azalttığını tespit ettiklerini söyledi. Demirkan, “Bir guruba 14 gün boyunca yoğurt verip kanser oluşturduk ve yoğurda devam ettik. Diğer gruba da aynı anda yoğurt ve kansorejen madde uyguladık. Bir diğer gruba da kanser oluştuktan sonra yoğurt verdik. Sonuçta, bu gruplara baktığımızda kanser olmadan veya kanserojen maddeye maruz kalmayla aynı dönemde manda yoğurduğunu verdiğimiz farelerde kanserin yüzde 80 oranında görülmediğini tespit ettik. Ancak kanser oluştuktan sonra yoğurt verildiğinde ise kanserde herhangi bir azalma görülmedi.” dedi.
Demirkan, manda yoğurdunun içine bir çeşit mikroorganizma olan probiyotikler katılarak yoğurdun anti kanserojen etkisinin arttırıldığını da anlattı. Bu mikroorganizmaların piyasada rahatlıkla temin edilebilen bir çeşit maya olduğunu ifade eden Demirkıran, düzenli olarak manda yoğurdunun içine katılarak tüketildiğinde normal beslenmenin ötesinde ciddi faydalar sağlandığının görüldüğünü dile getirdi.
Prof. Dr. Demirkan yapılan çalışma sonucunda manda yoğurdunun tümörden koruyucu ve tümör oluşumunu önlemede etkisinin daha fazla olduğunu belirlediklerini ifade ederek, bu durumun manda sütü yağının bileşiminde doymuş yağ asitlerinin oranının daha fazla olması, manda yağının kıvamı, donma ve erime noktaları ile iyot sayısının inek sütüne göre bir hayli farklı olmasından kaynaklandığını dile getirdi.
CİHAN



Kaynak: