Yemek yerken çeneden gelen ses, bir hastalığın habercisi olabilir. Çok da önemsenmediğinden araştırılmayan sesin kaynağının eklem rahatsızlığından ileri geldiğine dikkat çeken uzmanlar, 15-23 yaş aralığı genç kızlarda, erkeklere oranla 5 kat daha fazla görülen bu sorunun ilerleyen yaşlarda tedavisinin zorlaştığını vurguluyor. Zamanla ağzı açamama, boyun ve yüz kaslarında şiddetli ağrıya yol açan hastalığın sebebi ise büyük bir çoğunlukla stres. Bu nedenle tedavi sürecinin psikolojik destekle birlikte yürümesi gerekiyor.
Basit bir tıkırdama ile başlayan eklem hastalığı, ihmal edildiğinde sesler gittikçe artıyor, yemek yerken ve konuşurken karşıdaki kişileri rahatsız edebilecek boyutlara ulaşıyor. Ayrıca ağız açılıp kapanırken çene bir tarafa doğru kayabiliyor veya takılabiliyor. Hasta ağzını çok açtığında veya esnediğinde çenesi çıkabiliyor. İleri aşamada eklem diski yerinden tümüyle çıktığı için sesler ortadan kalkıyor ancak, hasta ağzını en fazla 1-1,5 santimetre açar hale geliyor. Bu aşamada diş hekimine başvuran hastanın önce eklem ve kas muayenesi yapılarak eklem bölgesinin röntgenleri çekiliyor. Hastalığın kaynağının tam olarak belirlenmesinin ardından varsa eksik dişler tamamlanıyor, hatalı kapanış gösteren diş ve protezlerin düzgün çiğneme yapması sağlanıyor. Gerekli durumlarda ise çene cerrahisi servisi, ortodonti, fizik tedavi veya psikiyatri kliniklerine sevk ediliyor.
GÜZELLİK İÇİN DEĞİL, TEDAVİ İÇİN BOTOKS
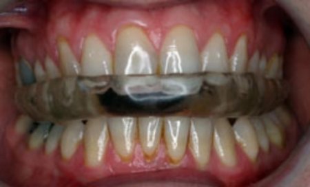
Diş hekimi Mehmet Emin Toprak, hastalığın ilerlemesini durdurmak için gece takılan dişlik (splint), tetik noktalara ise akapunktur uygulandığını söyledi. Dt. Toprak, gerekli durumlarda hastayı rahatlatmak ve stresi ortadan kaldırmak için yatıştırıcı ilaçlar kullanılabildiğini, çiğneme kaslarına botoks uygulanabildiğini ifade etti. Toprak, tedavi aşamasını şöyle özetledi: "Ağrı ve kas spazmı varlığında ağrı kesici ve kas gevşetici ilaçlar kullanılabilmekte. Ayrıca gerekli durumlarda artrosentez adı verilen yöntemle eklem içinin yıkanması ve eklem içindeki hastalık ve ağrı yapıcı ajanların uzaklaştırılarak eklem sıvısına benzer bir sıvının enjekte edilmesi uygulanabilmekte. Çok ileri durumlarda ise hastanın çene ekleminden ameliyat olması da gerekebilmekte."
Ağız açma-kapama esnasında ses duyan, takılma hisseden, sabah uyanınca veya gün içinde şiddetli baş-boyun ağrısı çeken, ağız açıklığında kısıtlılık gelişen, çiğneme şeklinin ve etkinliğinin değiştiğini fark eden hastaların mutlaka bir diş hekimine muayene olması gerektiğini kaydeden Toprak, şu önerilerde bulunuyor: "Hastalar yemek yerken ağızlarını fazla açmamalı. Dürüm, elma tarzı yiyecekleri parçalayarak tüketmeli. Büyük parçalar ısırarak koparmak yerine elle küçük parçalara ayırıp ağza alınmalı. Esnerken çenenin altına destek sağlanmalı. Uykuda çenenin üzerine yatmamalı. Sakız ve çekirdek gibi çeneyi yoran şeylerden uzak durmalı. Yumuşak gıdalar tercih edilmeli. Uzun süreli konuşmadan ve şarkı söylemekten kaçınmalı."
CİHAN



Kaynak:
